Pular para o conteúdo principal

Vladimir Antonini

Vladimir Antonini

Menu principal

  • Início
  • Notícias

Navegação de posts

← Anterior Próximo →

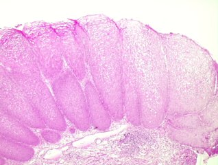
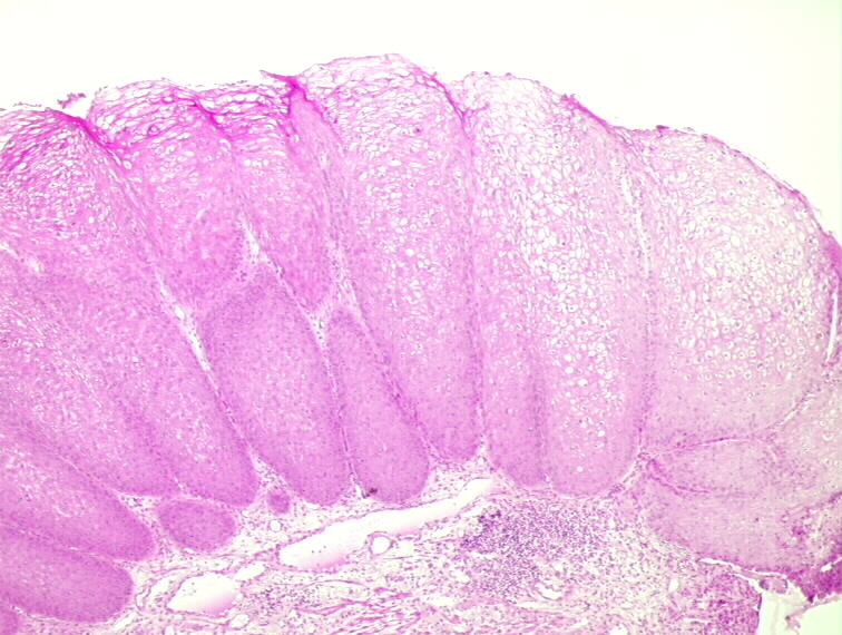
Acantose

Publicado em 26 de agosto de 2009 por antonini

Caracteriza-se por um aumento exacerbado da camada intermediária de células.

439

[Voltar]

Publicado em Notícias por antonini. Marque Link Permanente.

Ir para

  • Conteúdo
  • Estatísticas
  • Entrar

ùltimas notícias

  • Polilaminina: pesquisadora admite falhas em estudo publicado e afirma que pesquisa terá nova versão | Saúde | O Globo
  • Sistema de limpeza do cérebro pode ser chave para combater o Alzheimer – Noticias R7
  • Jantar de preguiçoso
  • Não vou facilitar pra vc não, vai ter que aguentar até o final… #humor #…
  • Chamaram Ele de Inútil Mudou o Mundo
  • Uma teoria da conspiração que está se revelando uma conspiração
  • Inscrições para Comitê de Enfrentamento ao Racismo Ambiental e Climático são prorrogadas — Ministério da Igualdade Racial
  • Cuidado! Este remédio destrói seus ossos em silêncio
  • Câmara aprova venda de remédios em supermercados com exigência de farmacêutico e espaço exclusivo | Economia | O Globo
  • Linquiça calabresa
  • Macarrão com linguiça
  • Em experimento “impossível” cientistas conseguem transforma chumbo em ouro
  • Panceta de porco cozido
  • Luladrão escorregando prêmio povo
  • A brasileira que viraliza traduzindo o caos da IA: ‘As pessoas estão per…
  • Pesquisadores criam IA capaz de antecipar risco de extinção de mais de 10 mil espécies de peixes | Clima e ciência | O Globo
  • Diminuição do QI em gerações mais novas pode estar ligada ao uso de telas | CNN Brasil
  • Essa IA Cria Vídeos Que Você NÃO Consegue Diferenciar da Realidade 😳
  • Cientistas investigam proteína que ajuda a reconstruir conexões cerebrais – Tua Saúde
  • Artemis II deve revelar lado oculto da Lua após 50 anos de pesquisas | CNN Brasil

Endereços úteis

  • Academia do IP
  • Android X86
  • Anjos e Guerreiros
  • Antonini.com.br
  • ANVISA
  • Arkos
  • Atera
  • BBC Brasil
  • Berry Boot
  • Biblioteca de Ciências da Saúde
  • Blasting News
  • Blog do Orlando Tambosi
  • BR-linux
  • Brasil Escola
  • Brasil Paralelo
  • Brasoftware
  • Calendário 365
  • Canais do YouTube
  • Canal Tech
  • Cavok
  • Ceticismo Político
  • Chumbo Gordo
  • CNPJs
  • Colifórmia Games
  • Debian Linux
  • Debian Mailserver
  • Dicas Linux
  • Digital Ocean
  • Diolinux
  • Diolinux – canal
  • Diolinux – EaD
  • Drive
  • Dropbox
  • E Bay
  • Encurtador de URL
  • Endless OS
  • EndNoteweb
  • Expresso Livre
  • Fábrica de Noobs
  • Faculdade Campo Real – Guarapuava
  • Faculdade São Leopoldo Mandic
  • Filezilla
  • FilipeFlop
  • Folha Centro Sul
  • Gazeta do Povo – Curitiba
  • Gifs Animados
  • Gizmodo
  • Google Play
  • GShow
  • Guia do Hardware
  • H96 PRO Octa Core TV Box Android
  • Host1Plus – Cloud Server
  • Idgnow
  • Imobiliária Fenix
  • Imóveis Curitiba
  • Implicante blog
  • Imprensa Viva
  • Infarma – artigo publicado
  • Info Exame
  • Instituto de Pós-graduação em Medicina – IPEM
  • IP – Ok
  • iRedMail
  • ISPConfig
  • Joice Hasselmann – canal
  • Kabum
  • Keep Vid
  • Learncafe
  • Letras de músicas
  • Lexicar Brasil
  • Linux Mint
  • Luna Cloud Server
  • Mac Magazine
  • Mais tecnologia
  • Márcio Américo (Pastor Adéilio)
  • Meio Bit
  • Mendeley
  • Mestrado em Bioinformática da Universidade Federal do Paraná
  • Mestrado em Clínica Cirúrgica
  • Mestrado em Medicina Interna
  • Midomi
  • ModMyPi
  • Myweb – cloud
  • NC – Concursos em andamento
  • NexDock
  • No-ip
  • Notícias ao minuto
  • O Antagonista
  • O Antagonista – canal
  • O Patriota
  • Oi – Minhaoi
  • Olhar Digital
  • PCWorld
  • PhoenixOS (baseado no Android-X86)
  • PHPBB Brasil
  • Plataforma Lattes
  • Plugins
  • Pontifícia Universidade Católica do Paraná – PUC-PR
  • Portal CAPES
  • Portal do Servidor
  • Pplware – Informática Portugal
  • Previsão do tempo
  • PROGEPE – Concursos para carreira docente
  • PROGEPE – Testes seletivos para contratação de professor substituto.
  • Puppy Linux
  • Qmail Toaster
  • Raspberry Pi
  • Reaçonaria – Reaçablog
  • Receita Federal
  • Rede Host Cloud Server
  • Registro.br
  • República de Curitiba
  • Retroware
  • Rodoviária Curitiba
  • Rodoviária Online
  • RPi Mailseverver
  • SAFERNET
  • SamMobile
  • Savefrom
  • Sempre Update
  • Servidor Debian
  • Show me tech
  • SIAPE
  • Simulador de poupança
  • Sputnik News
  • Submarino
  • SuSE Linux
  • Tchau Querido
  • Techmundo
  • TechTudo
  • Tecnoblog
  • Temas
  • Tor Project
  • Transferências – Fac. São Leopoldo Mandic
  • Tribunal Regional Federal – 4ª Região
  • Tudo celular
  • Ubunut Linux
  • Ucho.info
  • Universidade Federal do Paraná – UFPR
  • Universidade Linux
  • Universo On Line
  • UOLHost
  • Vale Transporte
  • Veja On Line
  • Velocidade da Internet
  • Virtualbox
  • Viva o Android
  • Viva o Linux
  • Windows Club
  • WordPress
  • YouTube
  • Zaca Moes (Chromebook) – YouTube

YouTube

  • A Missão
  • Academia do IP
  • Acredite ou Não
  • Anateck Wesley Gottara
  • Aviões e Músicas
  • BBT TV
  • Be!Tech
  • Bolsonaro TV
  • BOTECO F1
  • Brasil pela Direita
  • Bruno Antonio Martins De Guimarães
  • CANAL do ALONSO
  • Canal do Conservador
  • Canal Patriotas
  • Canal Universo
  • Capitão Bolsonaro
  • Claudio Dantas O Antagonista
  • Coisa de Velho
  • Coordenação Administrativa
  • CRISTALVOX
  • Davar – opinião e religião
  • DFM News
  • Diogo Portugal
  • Diolinux
  • Documentários Discovery Channel
  • Documentários Sayrus
  • ELETROWEB
  • Enigmático
  • Entre e coma sem culpa
  • Estevam Eliel
  • Fatos Desconhecidos
  • Felipe Moura Brasil
  • Fernando Rede Colmeia
  • Filma o que vê News
  • Força Brasileira
  • Refúgio Mental
Orgulhosamente mantido com WordPress