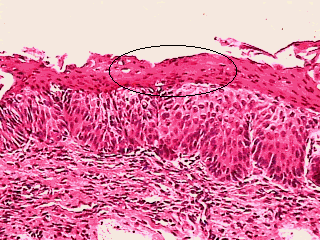
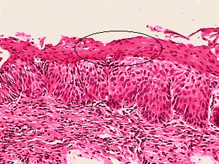
Paraceratose
29 de agosto de 2009 | Autor: antonini
Consiste na persistência dos núcleos dos cenatinócitos dentro do Stratum corneum (camada cornificada) da pele. Esse achado é comum no epitélio da membrana mucosa verdadeira da boca e vagina. (Dorland, 28ª ed)
[singlepic id=571 w=320 h=240 float=center]
[singlepic id=572 w=320 h=240 float=center]
[Voltar]
Categoria: Notícias

