Caso 1
[singlepic id=279 w=320 h=240 float=center]
279 Fragmento papilar. Neste campo células malignas esfoliadas na forma de fragmento papilar. (x 80)
[singlepic id=280 w=320 h=240 float=center]
280 Fragmento acinar: nível 1. Este é um fragmento acinar achado em outro lugar. Ele foi fotografado em três níveis para demonstrar que é tridimensional. (x 160)
[singlepic id=281 w=320 h=240 float=center]
281 Fragmento acinar: nível 2. ( x 160)
[singlepic id=282 w=320 h=240 float=center]
282 Fragmento acinar: nível 3. ( x 160)
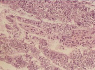
[singlepic id=283 w=320 h=240 float=center]
283 Carcinoma acinar do endométrio: histerectomia. Um corte do endométrio mostra um padrão papilar e acinar misto. (H & E, x 80)
Caso 2: Adenocarcinoma do endométrio
[singlepic id=284 w=320 h=240 float=center]
284 Células tumorais degeneradas. Este campo mostra restos amorfos, células inflamatórias e glóbulos vermelhos com células tumorais degeneradas as quais têm citoplasma espumoso abundante (flecha). (x 160)
[singlepic id=285 w=320 h=240 float=center]
285 Superfície do endométrio. Em outro lugar no esfregaço, placas de células indiferenciadas foram encontradas. Notar que nesta placa de células as alterações nucleares não são mais que discarióticas. Também notar a abertura das glândulas. (x 160)
[singlepic id=286 w=320 h=240 float=center]
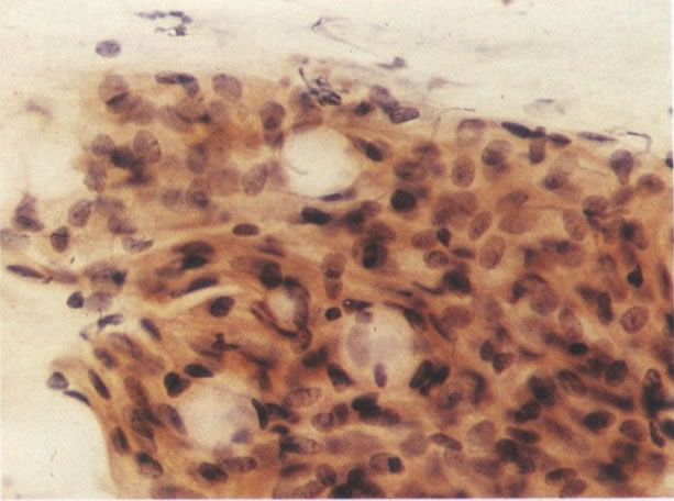
286 Adenocarcinoma do endométrio: curetagem. Notar a degeneração da superfície deste fragmento endometrial e a presença de células espumosas. (H & E, x 80)
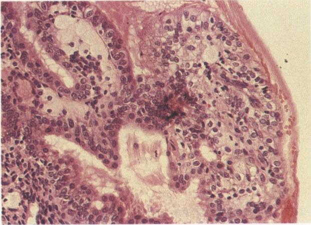
[singlepic id=287 w=320 h=240 float=center]
287 Adenocarcinoma do endométrio: curetagem. Este campo foi feito no mesmo aumento como a citologia apresentada em 284, deste modo, a morfologia de células espumosas poderia ser comparada. Estas células são reativas em lugar de neoplásicas. (H & E, x 160)
Caso 3: Adenocarcinoma do endométrio
[singlepic id=288 w=320 h=240 float=center]
288 Fragmento de tecido. Este campo mostra um fragmento de tecido típico desprendido de um adenocarcinoma. Notar a margem semelhante de um lado e o indício de estrutura acinar. Além disto, núcleos no fragmento tem uma aparência tridimensional. (x 160)
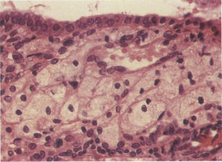
[singlepic id=289 w=320 h=240 float=center]
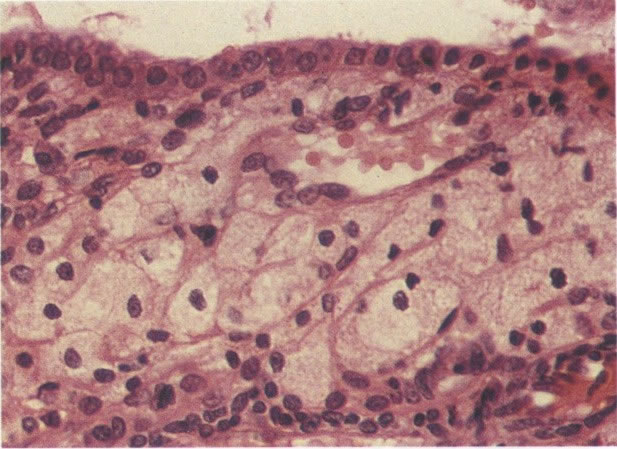
289 Adenocarcinoma do endométrio: curetagem. Corte de curetagem mostra um adenocarcinoma bem diferenciado. (H & E, x 160)
Caso 4: Adenocarcinoma indiferenciado
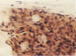
[singlepic id=290 w=320 h=240 float=center]
290 Células malignas indiferenciadas. Um grupo de células malignas indiferenciadas é visto neste campo. Não há nada para indicar o tipo de diferenciação ou sítio primário (endométrio ou cérvix). (x 160)
[singlepic id=291 w=320 h=240 float=center]
291 Carcinoma de células claras da cérvix: biópsia cervical. Este caso foi incluído para ilustrar que pode haver dificuldades na distinção entre tumores do endométrio e cérvix. O esfregaço cervical foi apresentado com uma preferência para um tumor endometrial, mas a biópsia e a curetagem fracionada mostraram um adenocarcinoma de células claras pobremente diferenciado da cérvix. (H & E, x 160)
Caso 5: Adenocarcinoma do endométrio
[singlepic id=292 w=320 h=240 float=center]
292 Células malignas pobremente diferenciadas. Este é um outro exemplo de células malignas pobremente diferenciadas, mas a curetagem fracionada e mais tarde a histerectomia mostraram ser este um adenocarcinoma do endométrio. (x 160)
[singlepic id=293 w=320 h=240 float=center]
293 Adenocarcinoma do endométrio: histerectomia. É interessante que aquele corte de endométrio apresente um adenocarcinoma moderadamente diferenciado (H & E, x 80)
[Voltar]


gostaria de saber se polipo endometrial causa cancer,e o que vem ser polipo
polipo endometrial é algo parecido com uma verruga e normalmente não tem nada de maligno (câncer).