Casos problemas
15 de fevereiro de 2009 | Autor:

Nos capítulos anteriores, foi feita uma tentativa para ilustrar o alcance dos aspectos citológicos encontrados nos tipos celulares específicos e também com diferentes lesões patológicas. Este capítulo apresenta casos de maior extensão para ilustrar várias áreas problemáticas na citologia ginecológica. Estas incluem a necessidade de reconhecer os múltiplos tipos de células anormais na lesão combinada, a falha aparente da correlação cito-histológica e o diagnóstico diferencial nas lesões de pequenas células indiferenciadas.

Lesões combinadas

Dois casos que caem dentro desta categoria são ilustrados na seção “casos variados” do Capítulo 6.

Caso 1: Adenocarcinoma da cérvix com NIC III

O esfregaço cervical neste caso contém células escamosas discarióticas bem diferenciadas com células colunares malignas e discarióticas. O reconhecimento de células colunares malignas é importante, pois células colunares discarióticas podem sobrepor a uma lesão NIC. Neste caso elas poderiam ser provenientes da periferia do adenocarcinoma.

[singlepic id=356 w=320 h=240 float=center]

356. Células escamosas discarióticas. Este campo mostra uma célula escamosa queratinizada, severamente discariótica com alguma degeneração nuclear. (x 160)


[singlepic id=357 w=320 h=240 float=center]
357. Célula escamosa discariótica. Em outro lugar do esfregaço, e em aumento maior, os núcleos deste grupo de células discarióticas mostram degeneração hidrópica. Há também condensação degenerativa da cromatina, particularmente abaixo da membrana nuclear. (x 400)


[singlepic id=358 w=320 h=240 float=center]
358. Célula escamosa discariótica. Esta célula discariótica isolada mostra granulação grosseira da cromatina, com pregueamento degenerativo da membrana nuclear. Apesar da presença de pequenos vacúolos no citoplasma, as bordas citoplasmáticas são nitidamente demarcadas. (x 400)


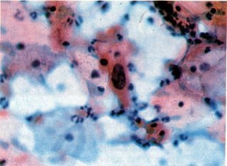
[singlepic id=359 w=320 h=240 float=center]
359. Células glandulares discarióticas. Este grupo de células glandulares discarióticas mostra pleomorfismo com núcleo excêntrico, citoplasma flocular e nucléolo proeminente. (x 160)


[singlepic id=360 w=320 h=240 float=center]
360. Células glandulares discarióticas. A primeira vista este grupo, em aumento maior, poderia ser de células escamosas metaplásicas pois alguns dos núcleos estão dispostos centralmente, o que sugere que estas são células escamosas. Contudo, o nucléolo vermelho proeminente, isolado, colocado centralmente aponta para uma origem glandular. O padrão de cromatina nuclear é uniformemente granular, assim as células não podem ser chamadas mais do que discarióticas (pré-invasiva). Notar também o citoplasma floculado ficando como células glandulares. (x 400)

[singlepic id=361 w=320 h=240 float=center]
361. Célula glandular discariótica isolada. Esta única célula é semelhante, mas existe uma sugestão de clareamento no padrão de cromatina nuclear. (x 400)


[singlepic id=362 w=320 h=240 float=center]
362. Células glandulares malignas. Em outro lugar do esfregaço, grupamento de células glandulares são encontrados mostrando critérios de malignidade. Notar o borramento das bordas citoplasmáticas e condensação irregular da cromatina, ambas no núcleo e na membrana nuclear. Como antes, a maioria dos nucléolos são isolados e colocados centralmente, mas eles variam no tamanho e na forma. (x 400)


[singlepic id=363 w=320 h=240 float=center]
363. Células glandulares malignas. O diagnóstico de adenocarcinoma é confirmado por esta estrutura tubular achada em outro lugar do esfregaço. (x 400)


[singlepic id=364 w=320 h=240 float=center]
364. Espécime da histerectomia. O corpo do útero é visto à direita da fotografia e o lábio posterior da cérvix é substituído por um tumor com necrose superficial. Este era o adenocarcinoma e no lábio anterior liso que se encontra acima, foi achado NIC III extenso do tipo queratinizado bem diferenciado.


[singlepic id=365 w=320 h=240 float=center]
365. NIC III (queratinizante): lábio anterior da cérvix. Este corte ilustra pleomorfismo e um padrão de crescimento desordenado através da espessura do epitélio. As papilas dérmicas estão dispostas irregularmente e embora o lábio anterior da cérvix fosse normal no exame a olho nu, um padrão vascular anormal teria sido visto colposcopicamente se esta investigação tivesse sido disponível quando este caso foi diagnosticado e tratado. (H & E, x 40)


[singlepic id=366 w=320 h=240 float=center]
366. NIC III (queratinizante): lábio anterior da cérvix. Este corte em aumento maior permite comparação das células superficiais com aquelas vistas no esfregaço cervical. Notar a coilocitose nas camadas mais profundas do epitélio. (H & E, x 160)


[singlepic id=367 w=320 h=240 float=center]
367. Adenocarcinoma: lábio posterior da cérvix. Cortes retirados do tumor localizado no lábio posterior da cérvix mostram um adenocarcinoma moderadamente diferenciado do tipo endocervical. (H & E, x 40)


[singlepic id=368 w=320 h=240 float=center]
368. Adenocarcinoma: lábio posterior da cérvix. Em aumento maior é possível comparar a morfologia celular com esta das células glandulares malignas vistas no esfregaço cervical. Notar as semelhanças do padrão de cromatina nuclear e aquela dos nucléolos. (H & E, x 160)

[Voltar]

Categoria: 1a, HP