As micobactérias de crescimento rápido não são tuberculosos e podem ser encontradas dispersas na natureza, apresentando patogenidade variável. Sua capacidade de produzir doença e sua importância e vem aumentando progressivamente.
Segundo a Secretaria Estadual de Saúde do Estado do Paraná, desde dezembro de 2007, o Paraná registrou 158 notificações. Dessas, 137 em Curitiba e 21 no interior do estado. Houve confirmação de 110 casos, sendo 104 em Curitiba, quatro em Londrina e 2 em Umuarama. De todos os casos confirmados no Paraná, apenas um ocorreu em unidade pública de saúde.Dos seis casos confirmados no interior do estado, cinco foram procedentes de cirurgias plásticas abertas e procedimentos estéticos.Na capital, dos 104 casos, todos ocorreram devido à videocirurgias.

Estima-se que entre os fatores de risco da contaminação, esteja o trauma e falhas técnicas de esterilização de instrumentos cirúrgicos.
Os sintomas caracterizam-se por dificuldade de cicatrização em e surgimento de nódulos e secreção no local da cirurgia. O tempo para manifestação varia de duas semanas até um ano após o procedimento cirúrgico.
O diagnóstico da doença por micobactérias exige muita cautela, pois sua identificação nos exames precisa ser diferenciada entre colonização transitória e a infecção propriamente dita. Por esse motivo, é de fundamental importância a correlação entre o quadro clínico e os resultados laboratoriais, para então se estabelecer a estratégia terapêutica.
De forma geral, o tratamento deve ser acompanhado por médico infectologista, pois é feito com mais de um agente antibacteriano e por um longo período de tempo, em média um ano. Ressalta-se o papel do cirurgião que, ao detectar a lesão, deve debridá-la adequadamente.
Vários documentos técnicos foram editados pelos órgãos governamentais, destacando-se a resolução da Secretaria Estadual de Saúde, de número 457/2008, 3 de setembro, que aprova o regulamento técnico e que estabelece os critérios específicos para reprocessamento de produtos médicos utilizados em cirurgias de outros procedimentos de caráter eletivos.
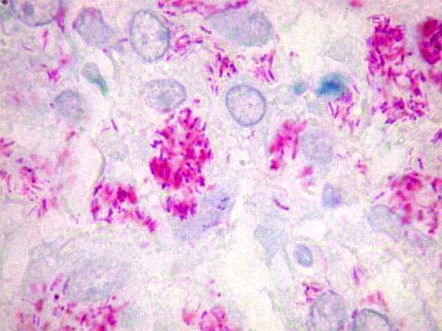
[singlepic id=878 w=320 h=240 float=center]
Essa é a aparência de uma infecção por micobactérias em esfregaço, sob coloração de Ziel-Nilsen (clique para ampliar)
[Voltar]

