O carcinoma da cérvix pode ser tanto do tipo adenoescamoso como escamoso. Nestes casos tanto um como ambos os elementos podem ser in situ ou invasivos.
Caso 1: Carcinoma adenoescamoso combinado (Cortesia de Dr. J.K. Frost John Hopkins Hospital)
[singlepic id=244 w=320 h=240 float=center]
244 Células escamosas malignas. Este campo contém um grupo de células escamosas malignas com uma célula levemente discariótica. (x 280)
[singlepic id=245 w=320 h=240 float=center]
245 Fragmentos acinares. Fragmentos acinares malignos são vistos em outro campo do mesmo esfregaço. Um girino encontra-se sobre um dos ácinos. Ambos, carcinoma de células escamosas invasivas e adenocarcinoma, estavam presentes na biópsia. (x 280)
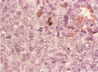
Caso 2: Adenocarcinoma com NIC III (cortesia Dr. A. Kertesz, Merthyr Tydfil)
[singlepic id=246 w=320 h=240 float=center]
246 Discariose severa. Este campo apresenta lâminas e grupos de células severamente discarióticas, mas há também um indício de estrutura papilar. (x 250)
[singlepic id=247 w=320 h=240 float=center]
247 Adenocarcinoma com NIC III: cone biópsia. O cone biópsia mostrou áreas de NIC III. Neste campo células coadunares residuais benignas estão presentes na superfície. (H & E, x 62)
[singlepic id=248 w=320 h=240 float=center]
248 Adenocarcinoma com NIC III: cone biópsia. Outra secção mostrou um adenocarcinoma bem diferenciado do tipo endocervical. (H & E, x 62)
Caso 3: Adenocarcinoma In Situ
Este caso é incluído já que a aparência citológica mostra muita das características consideradas como diagnósticos de adenocarcinoma in situ (Ayer et al., 1987).
[singlepic id=249 w=320 h=240 float=center]
249 Glândula endocervical. Este campo mostra uma glândula em perfil com pseudo-estratificação. (x 80)
[singlepic id=250 w=320 h=240 float=center]
250 Glândula endocervical. Neste quadro a superfície do epitélio colunar das glândulas esfoliou com glândula em forma de dedo projetando-se do estroma. (x 80)
[singlepic id=251 w=320 h=240 float=center]
251 Células colunares discarióticas. Em outro lugar do esfregaço uma camada de células discarióticas indiferenciadas pode ser comparada com uma placa de células colunares discarióticas. Notar o nucléolo evidente e o núcleo pálido na célula glandular (flecha). (x 160)
[singlepic id=252 w=320 h=240 float=center]
252 Borda em forma de asa. Este campo apresenta uma abertura glandular com pseudo-estratificação. Notar a borda em forma de asa sobre a superfície. Ayer et al. consideram ser esta uma importante característica diagnóstica. (x 160)
[singlepic id=253 w=320 h=240 float=center]
253 Adenocarcinoma in situ: cone biópsia. Este corte mostra um adenocarcinoma in situ bem diferenciado. (H & E, x 16)
[singlepic id=254 w=320 h=240 float=center]
254 Adenocarcinoma in situ: cone biópsia. Isto é visto mais claramente em aumento maior. (H & E, x 160)
[singlepic id=255 w=320 h=240 float=center]
255 Adenocarcinoma in-sito: cone biópsia. Áreas de metaplasia escamosa estão presentes as quais mostram focos de muco residual corados em vermelho com PAS-diastase. O componente de adenocarcinoma in sito é também fortemente positivo para muco. (PAS-diastase, x 160)
Caso 4: Melanoma maligno de cérvix (cortesia Edgware General Hospital)
[singlepic id=256 w=320 h=240 float=center]
256 Melanoma maligno. Pigmento é visto no grupo de células neste campo. (x 160)
[singlepic id=257 w=320 h=240 float=center]
257 Melanoma maligno. Em aumento maior irregularidades do padrão de cromatina nuclear podem ser vistas através da deposição de pigmento espesso. Em particular, notar os macronucléolos debilmente discerníveis. Estes podem ser uma importante característica diagnostica nos casos de melanoma amelanótico (ver 336 e 339). (x 400)
[singlepic id=258 w=320 h=240 float=center]
258 Melanoma maligno: biópsia cervical. Compare as células componentes do tecido com aquelas vistas no esfregaço cervical. Notar os macronucléolos. (H & E, x 160)
Caso 5: Carcinoma basoescamoso da cérvix
[singlepic id=259 w=320 h=240 float=center]
259 Células malignas pobremente diferenciadas. Um grupo de células malignas pobremente diferenciadas é visto neste campo. Elas não mostram nenhuma característica sugerindo diferenciação Celular escamosa ou colunas. (x 250)
[singlepic id=260 w=320 h=240 float=center]
260 Carcinoma basoescamoso da cérvix: biópsia cervical. Em pequeno aumento ninhos de células tumorais são vistos no estroma. Este foi diagnosticado como um carcinoma de células basoescamosas. (H & E, x 18)
[singlepic id=261 w=320 h=240 float=center]
261 Carcinoma da cérvix basoescamoso: biópsia cervical. Em aumento maior as células tumorais podem ser comparadas com aquelas vistas no esfregaço cervical. Notar a coloração mais escura das células endoteliais. (H & E, x 250)
[Voltar]

